ד״ר ז׳יץ מרפאות ליישור שיניים

כ-40 שנות ניסיון ביישור שיניים • סניפים בתל אביב וראשון לציון • התמחות ביישור שיניים Invisalign

החיוך שתמיד חלמתם עליו עם הטיפול המתקדם ביותר באינויזליין

40+
שנות ניסיון
1000+
מטופלים מרוצים
2
מרפאות מתקדמות
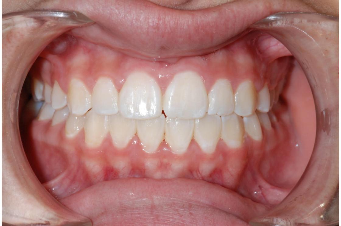
יישור שיניים עם פלטות אינויזליין שקופות
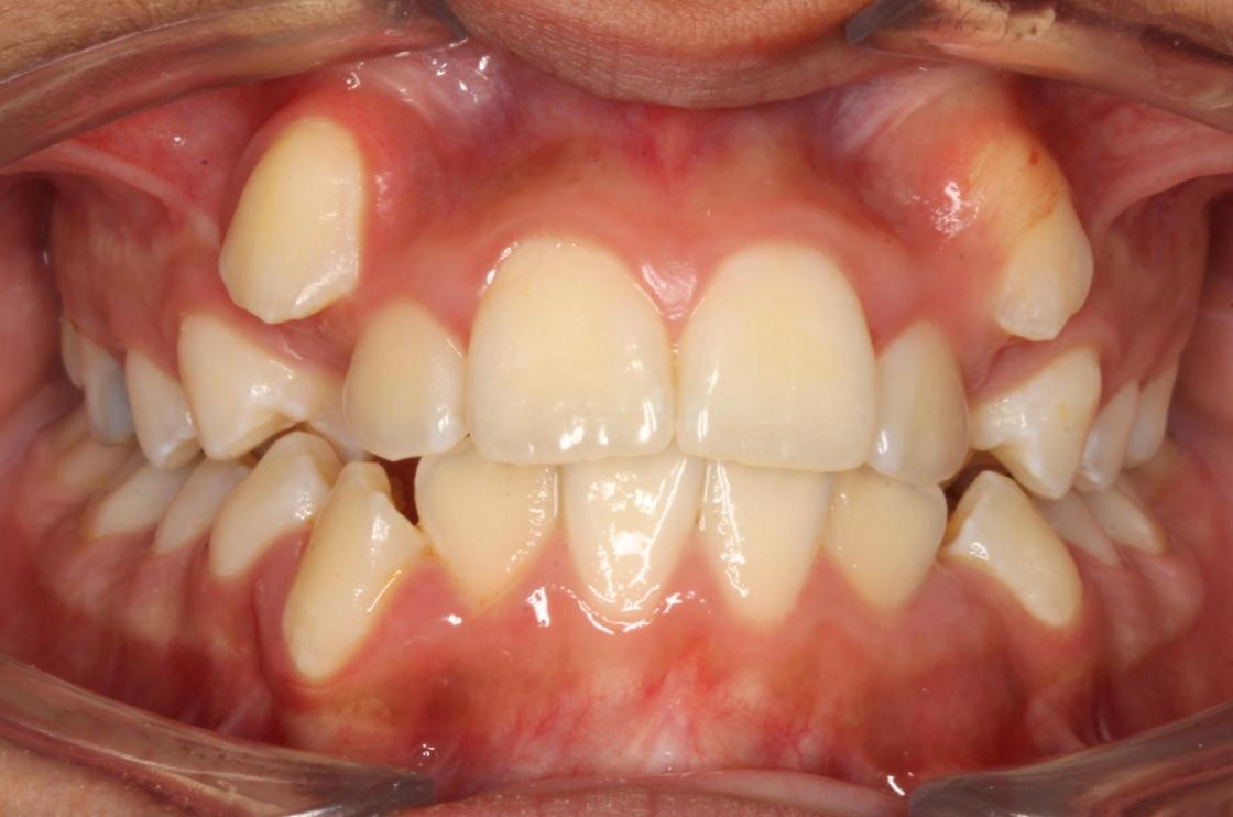
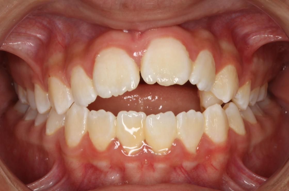
תוצאות מדהימות עם אינויזליין

יישור שיניים עם פלטות שקופות

אינויזליין (Invisalign) היא השיטה המתקדמת ביותר בעולם ליישור שיניים. השיטה מבוססת על פלטות שקופות (קשתיות) אשר ניתנות להסרה בכל עת.

מתאים לילדים, בני נוער ומבוגרים

ד״ר רוני ז׳יץ, ד״ר דן ז׳יץ וצוות המרפאה מסייעים מדי שנה למאות מטופלים, בני כל הגילאים, ליהנות מיישור שיניים שקוף, נוח ומהיר.

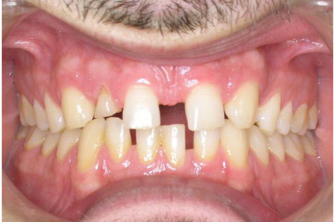
יישור שיניים במקרים מורכבים

הודות לכ-40 שנות ניסיון, אנו מבצעים יישור שיניים גם במקרים דנטליים מורכבים, או כחלק מתהליך שיקום.

צוות המרפאה

ד״ר רוני ז׳יץ

ד״ר רוני ז׳יץ

מומחה ליישור שיניים

ד״ר דן ז׳יץ

ד״ר דן ז׳יץ

רופא שיניים

הסגל המורחב

הסגל המורחב

רופאים, שינניות, מזכירות

אינויזליין (Invisalign): השיטה המתקדמת בעולם ליישור שיניים

מרפאות ד״ר ז׳יץ הן מהמובילות בארץ ליישור שיניים בשיטת אינויזליין פורצת הדרך.

במרפאות מבוצעים מידי שנה מאות יישורי שיניים באינויזליין. המטופלים נהנים מיישור שיניים מהיר, שקוף ואיכותי במיוחד, עם פחות פגישות מעקב.

כל זאת תודות לשילוב בין טכנולוגיית אינויזליין ליישור שיניים, והניסיון העצום של ד״ר רוני וד״ר דן ז׳יץ וצוות המרפאה.

טיפול אינויזליין - פלטות שקופות

יישור שיניים עם חיוך

המטופלים שלנו באים אלינו כדי לזכות בחיוך יפה. ולכן חשוב לנו לחייך אליהם בחזרה!

לכל אורך תהליך יישור השיניים המטופלים שלנו נהנים מליווי צמוד, מענה לכל השאלות, הסברים, ויחס אישי וחם. ד״ר רוני ז׳יץ וכל הצוות כאן בשביל המטופלים.

המלצות

צפו בהמלצות חלק מהמטופלים שלנו על יישור שיניים אינויזליין עם ד״ר רוני ז׳יץ:

המלצת מטופל 1

דוד כהן

"הטיפול עם ד״ר רוני היה פנטסטי. התוצאות מעבר לציפיות!"

המלצת מטופל 2

שרה לוי

"אינויזליין שינה לי את החיים. תודה לצוות המדהים!"

המלצת מטופל 3

מיכל אברהם

"שירות מקצועי ואישי. היו איתי בכל שלב של הדרך."

צרו קשר

סניף תל אביב

ויצמן 14 קומה 15, יחידה 1509, תל אביב

סניף ראשון לציון

היקב 10 א', ראשון לציון